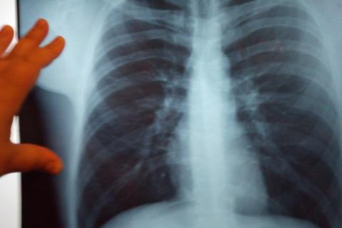
За первое полугодие 2022 года в Приангарье выявлено 704 новых случая заболевания туберкулезом, что на 4 больше, чем за аналогичный период 2021 года. В целом показатель заболеваемости туберкулезом в регионе составляет 59,9 случая на 100 000 населения области. В процентном соотношении заболеваемость увеличилась на 4,5 %.
Врачи убедительно просят - проходите своевременно флюорографическое обследование!


